下顎前歯の叢生をインビザラインで改善した症例(30代男性)
2025/12/14
|
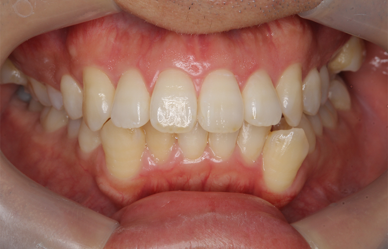
治療前 ![]() |
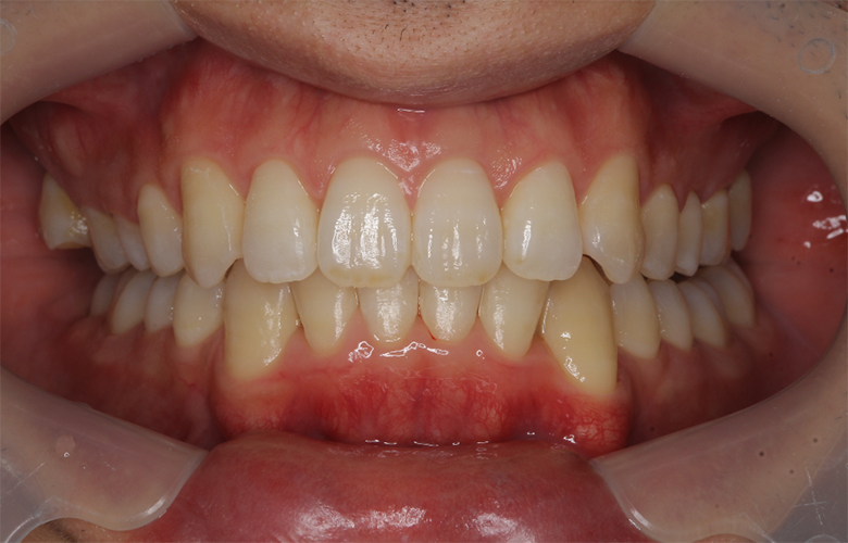
治療後 ![]() |
| 相談内容 |
下顎前歯のデコボコ(叢生)が気になるとのことで来院されました。長年コンプレックスを感じており、できるだけ目立たない矯正をご希望でした。 |
|---|---|
| 年齢・性別 |
30代 男性 |
| カウンセリング・診断結果 |
拝見したところ、下顎前歯部にスペース不足が顕著に認められ、中等度の叢生を呈していました。 |
| 行ったご提案・治療内容 |
歯列アーチを広げながら、歯の傾斜と回転を改善し、下顎前歯の整列を図りました。 |
| 術後の経過・現在の様子 |
非抜歯で計画通りに歯が移動し、前歯部の叢生は大きく改善しました。 |
| 治療期間 |
約11か月(追加アライナーあり) |
| 治療回数 |
12〜18回(チェック頻度に基づく想定) |
| 総額治療費の目安 |
約800,000円(税別) |
| 治療のリスクについて |
装着時間が不十分な場合、計画通りに歯が移動せず、治療期間が延長する可能性があります。矯正中に一時的な痛みが出ることがあります。矯正後のリテーナー使用を怠ると、後戻りの可能性があります。 |
| クリニックより |
下顎前歯の叢生は、見た目はもちろん、清掃性にも大きな悪影響を及ぼします。 |
スタッフ一同、皆様のご来院を「笑顔」でお待ちしています。
監修医・医院情報
監修医:小林 伸(医療法人KDS 理事長/日本臨床歯周病学会 認定医/ITIインプラントスペシャリスト/日本顎咬合学会 認定医)
専門:フルアーチインプラント、審美修復、歯周形成外科
所属:日本臨床歯周病学会、日本顎咬合学会、ITIインプラントメンバー ほか
当サイト内の文章、画像、動画等は知的財産権により守られています。
すべてのコンテンツの無断転載、無断引用はご遠慮ください。
転載・引用をご希望の場合は、必ず当院までご相談ください。
大崎オーバルコート歯科・矯正歯科室 理事長 小林 伸
医療法人社団KDS 大崎オーバルコート歯科・矯正歯科室:https://oval-dc.net/
〒141-0022 東京都品川区東五反田2-16-1 ザ・パークタワー1F
電話:03-5739-1625
電車でお越しの方:
JR線「大崎」駅より徒歩4分
JR線「五反田」駅より徒歩10分



