金属修復の劣化と審美障害をジルコニアインレーで改善した症例(60代男性)
|
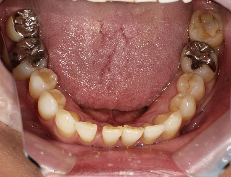
治療前 ![]() |
治療後 ![]() |
| 相談内容 |
左下の第一大臼歯に入っている金属の詰め物が古くなり、見た目が気になるとのことで来院されました。金属の劣化による違和感もあり、白い歯で治療したいというご希望がありました。 |
|---|---|
| 年齢・性別 |
60代 男性 |
| カウンセリング・診断結果 |
左下の第一大臼歯には金属修復物が装着されており、経年的な劣化と変色が認められました。適合精度の低下も見られ、二次う蝕のリスクが高い状態でした。また、金属色が目立つことによる審美障害も認められました。 |
| 行ったご提案・治療内容 |
劣化した金属修復物を除去し、う蝕部分を適切に除去したうえで、メタルフリー修復としてジルコニアインレーによる治療をご提案しました。強度と適合性、自然な色調を重視し、咬合調整を行いながら修復しました。 |
| 術後の経過・現在の様子 |
金属色は完全に除去され、天然歯に近い色調の修復物となりました。見た目の改善だけでなく、適合精度の向上により清掃性も良好です。現在も問題なく経過しています。 |
| 治療期間 |
約2〜3週間 |
| 治療回数 |
2回 |
| 総額治療費の目安 |
87,780円(税込) |
| 治療のリスクについて |
強い咬合力がかかる場合、修復物に過度な負荷がかかる可能性があります。歯ぎしり・食いしばりがある場合、破折リスクが高まるため、必要に応じてマウスピースの使用を推奨します。 |
| クリニックより |
金属修復物は長期使用により劣化や変色が生じやすく、審美面・衛生面の両方で問題となります。本症例では、ジルコニアインレーによるメタルフリー修復により、機能性と審美性の両立を実現しました。金属の見た目や劣化が気になる方は、ぜひご相談ください。 |
スタッフ一同、皆様のご来院を「笑顔」でお待ちしています。
監修医・医院情報
監修医:小林 伸(医療法人KDS 理事長/日本臨床歯周病学会 認定医/ITIインプラントスペシャリスト/日本顎咬合学会 認定医)
専門:フルアーチインプラント、審美修復、歯周形成外科
所属:日本臨床歯周病学会、日本顎咬合学会、ITIインプラントメンバー ほか
当サイト内の文章、画像、動画等は知的財産権により守られています。
すべてのコンテンツの無断転載、無断引用はご遠慮ください。
転載・引用をご希望の場合は、必ず当院までご相談ください。
大崎オーバルコート歯科・矯正歯科室 理事長 小林 伸
医療法人社団KDS 大崎オーバルコート歯科・矯正歯科室:https://oval-dc.net/
〒141-0022 東京都品川区東五反田2-16-1 ザ・パークタワー1F
電話:03-5739-1625
電車でお越しの方:
JR線「大崎」駅より徒歩4分
JR線「五反田」駅より徒歩10分



