「ブログ」の記事一覧
-
-
2025/12/14
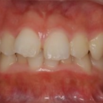
上下前歯の叢生をインビザラインで改善した症例(40代女性)
治療前 治療後 相談内容 下顎左側前歯のデコボコ(叢生)による歯並 ...
-
-
2025/12/12
予防歯科の重要性。症状が出てからでは遅いのはなぜ?
みなさま、こんにちは。品川区 大崎・五反田の歯科治療なら大崎オーバルコート歯科・ ...
-
-
2025/12/08
下顎前歯の叢生をインビザラインで改善した症例(30代男性)
治療前 治療後 相談内容 下顎前歯のデコボコ(叢生)が気になるとの ...
-
-
2025/11/30
ホワイトスポットの審美的改善(MI治療)30代女性
治療前 治療後 相談内容 前歯横の歯の白い濁りが気になるとのことで来院されました ...
-
-
2025/11/25
軽度叢生をインビザラインで改善した症例(10代女性)
治療前 治療後 相談内容 上の前歯が前方へ出て見える、真ん中にわずかな隙間がある ...
-
-
2025/11/20
前歯のねじれ・出っ歯感をインビザラインで改善した症例
治療前 治療後 相談内容 上下の前歯にねじれがあり、特に上の前歯の前突感が気にな ...
-
-
2025/11/15
歯並びのガタつきと前歯の捻じれが気になる。歯列拡大とアライナー矯正の併用により非抜歯で叢生を改善した症例
治療前 治療後 相談内容 歯並びのガタつきと前歯の捻じれを気にされて来院されまし ...
-
-
2025/05/28
6歳男子「前歯のガタガタが気になる」小児矯正で歯並びを改善した症例
治療前 治療後 相談内容 今後の歯並びが心配とのことで来院されました。 右上2番 ...
-
-
2025/05/12
20代女性「奥歯の銀歯を白くしたい」ジルコニアで白くした症例
治療前 治療後 相談内容 矯正治療を行っていく中で、奥歯の銀歯が気になるようにな ...
-
-
2024/07/21
口呼吸でIQが低下する?
みなさま、こんにちは。品川区 大崎・五反田の歯科治療なら大崎オーバルコート歯科・ ...

