「症例集」の記事一覧
-
-
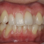
2026/01/07
咬合力による歯牙破折から生じたう蝕をジルコニアインレーで修復した症例(50代男性)
治療前 治療後 相談内容 奥歯で噛んだ際の違和感があり、食事中に物 ...
-
-
2025/12/30
ホワイトスポットを低侵襲治療で改善した症例(20代女性)
治療前 治療後 相談内容 前歯の表面にある白い斑点(ホワイトスポッ ...
-
-
2025/12/25
メタルによる審美障害と金属アレルギーへの不安をジルコニアインレーで改善した症例(50代女性)
治療前 治療後 相談内容 下臼歯部に入っている金属の詰め物が目立つ ...
-
-
2025/12/24
上下顎の叢生をインビザラインで改善した症例(40代女性)
治療前 治療後 相談内容 下顎左側から3番目の歯が内側に倒れ込むよ ...
-
-
2025/12/14
上下前歯の叢生をインビザラインで改善した症例(40代女性)
治療前 治療後 相談内容 下顎左側前歯のデコボコ(叢生)による歯並 ...
-
-
2025/12/08
下顎前歯の叢生をインビザラインで改善した症例(30代男性)
治療前 治療後 相談内容 下顎前歯のデコボコ(叢生)が気になるとの ...
-
-
2025/11/30
ホワイトスポットの審美的改善(MI治療)30代女性
治療前 治療後 相談内容 前歯横の歯の白い濁りが気になるとのことで来院されました ...
-
-
2025/11/25
軽度叢生をインビザラインで改善した症例(10代女性)
治療前 治療後 相談内容 上の前歯が前方へ出て見える、真ん中にわずかな隙間がある ...
-
-
2025/11/20
前歯のねじれ・出っ歯感をインビザラインで改善した症例
治療前 治療後 相談内容 上下の前歯にねじれがあり、特に上の前歯の前突感が気にな ...
-
-
2025/11/15
歯並びのガタつきと前歯の捻じれが気になる。歯列拡大とアライナー矯正の併用により非抜歯で叢生を改善した症例
治療前 治療後 相談内容 歯並びのガタつきと前歯の捻じれを気にされて来院されまし ...

