大崎オーバルコート歯科・矯正歯科室は、平成13年に品川区大崎のこの地に開業しました。
目まぐるしく発展していくこの大崎で、患者さん、地域のみなさん、スタッフ等、多くの方々の支えで今日、診療をさせていただいております。
医療人たるもの、お困りの方がいらっしゃったら、いつなんどきでも、可能な限り手を差し伸べて、助けてあげたい。
この気持ちを軸に、スタッフ一同、診療にあたっております。
どのような状況でも、急患来院を受け入れることができる態勢を敷いております。
また、昨今、日進月歩の医療技術発展に遅れることなく、いかなる症例ケースでも対応できるように、常に自己研鑽を怠りません。
理論なき実践は暴力であり、実践なき理論は空虚である
歯科治療における、充分な知識とそれを裏付ける臨床経験が、大崎オーバルコート歯科・矯正歯科室にはあります。
大崎オーバルコート歯科・矯正歯科室に来院していただいた患者さんに、 安心、安全な治療を行い、一人一人との信頼関係を大事に、大切に、皆様の健康維持に貢献できるよう日々精進してまいりますので、どうぞお気軽にお申し付けください。



歯が痛い





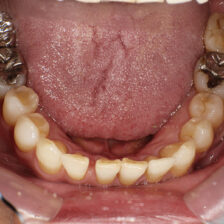
虫歯治療
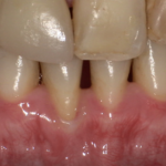
歯周病治療
小児歯科
予防歯科
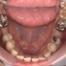
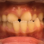
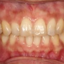
矯正歯科
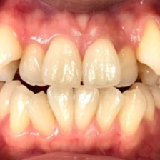
審美治療
歯周形成外科
ホワイトニング
ホワイトスポット
歯科口腔外科
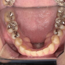
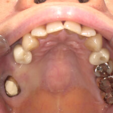
インプラント
訪問歯科診療
栄養相談
ボツリヌス注射
睡眠時無呼吸症候群











