前歯の叢生をインビザラインで改善した症例(50代女性)
|
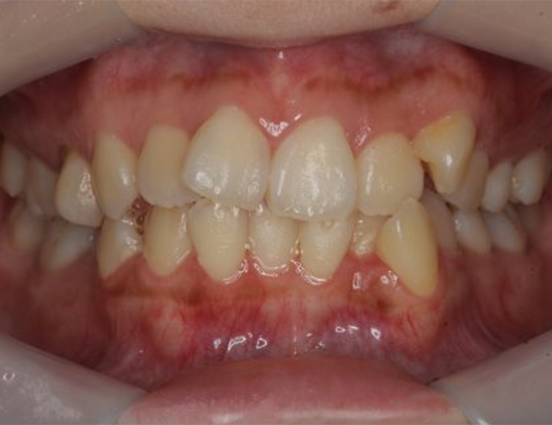
治療前 ![]() |
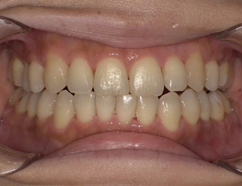
治療後 ![]() |
| 相談内容 |
前歯のガタつきが目立ち、歯並びの乱れが気になるとのことで来院されました。笑ったときに歯が重なって見えることや、歯みがきがしづらい点も気にされていました。 |
|---|---|
| 年齢・性別 |
50代 女性 |
| カウンセリング・診断結果 |
拝見したところ、上下前歯部に叢生(歯のデコボコ)が認められ、歯列全体のアーチが乱れている状態でした。咬合関係に大きな問題はなく、歯の移動量も比較的軽度であったため、非抜歯での矯正治療が可能と判断しました。 |
| 行ったご提案・治療内容 |
目立ちにくく日常生活への影響が少ないインビザラインによるマウスピース矯正をご提案しました。歯列全体のバランスを整えながら、前歯部の叢生を改善する治療計画を立案しました。アライナーは1日20時間以上の装着を指導しました。 |
| 術後の経過・現在の様子 |
前歯の重なりが改善され、歯列が滑らかに整いました。口元の印象が自然になり、歯みがきもしやすくなったことで清掃性も向上しています。現在は保定期間に入り、経過観察を行っています。 |
| 治療期間 |
1年程度(症例により異なります) |
| 治療回数 |
定期チェックを含め8〜15回程度 |
| 総額治療費の目安 |
約800,000円 |
| 治療のリスクについて |
アライナーの装着時間が不足すると、計画通りに歯が移動しない可能性があります。歯の移動に伴い、一時的な違和感や痛みが出ることがあります。治療後にリテーナーを適切に使用しない場合、後戻りが生じる可能性があります。 |
| クリニックより |
50代からでも歯並びの改善は十分に可能です。マウスピース矯正は、見た目に配慮しながら歯列を整えられる治療法で、審美性と清掃性の向上の両立が期待できます。歯並びが気になる方は、年齢を問わずお気軽にご相談ください。 |
スタッフ一同、皆様のご来院を「笑顔」でお待ちしています。
監修医・医院情報
監修医:小林 伸(医療法人KDS 理事長/日本臨床歯周病学会 認定医/ITIインプラントスペシャリスト/日本顎咬合学会 認定医)
専門:フルアーチインプラント、審美修復、歯周形成外科
所属:日本臨床歯周病学会、日本顎咬合学会、ITIインプラントメンバー ほか
当サイト内の文章、画像、動画等は知的財産権により守られています。
すべてのコンテンツの無断転載、無断引用はご遠慮ください。
転載・引用をご希望の場合は、必ず当院までご相談ください。
大崎オーバルコート歯科・矯正歯科室 理事長 小林 伸
医療法人社団KDS 大崎オーバルコート歯科・矯正歯科室:https://oval-dc.net/
〒141-0022 東京都品川区東五反田2-16-1 ザ・パークタワー1F
電話:03-5739-1625
電車でお越しの方:
JR線「大崎」駅より徒歩4分
JR線「五反田」駅より徒歩10分



