エアフローによる着色除去(小児)
|
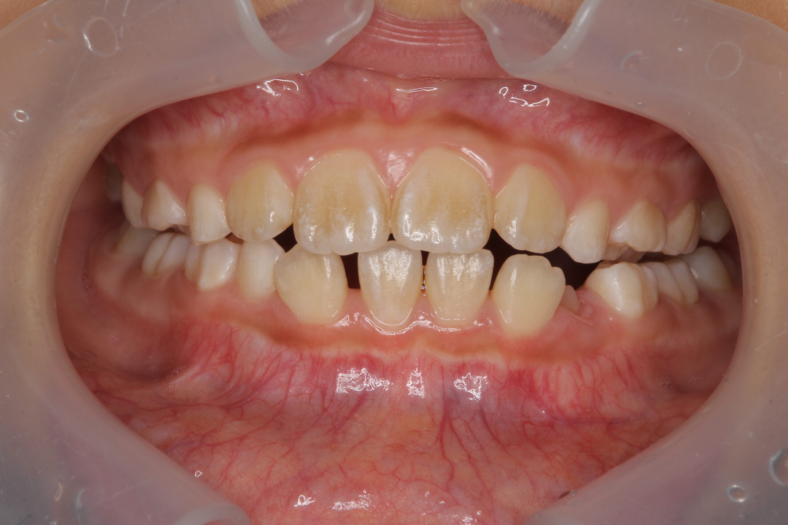
治療前 ![]() |
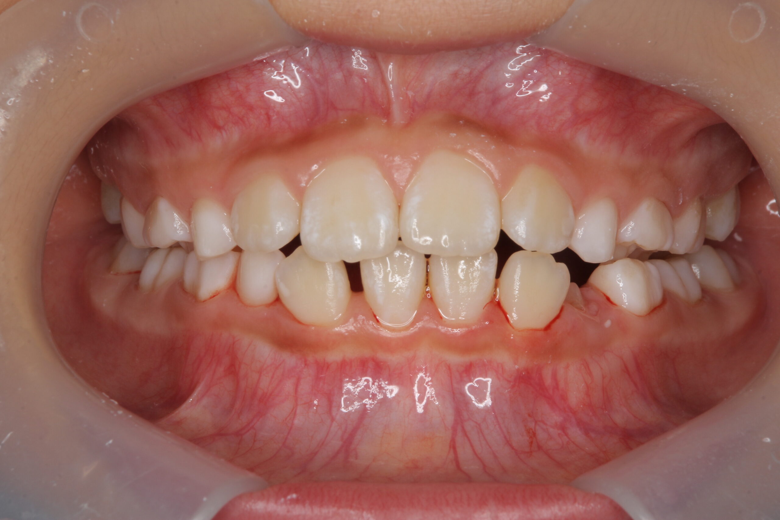
治療後 ![]() |
| 相談内容 |
前歯を中心に歯の表面の着色が気になるとのことで来院されました。保護者の方からも「歯が黄ばんで見えるのが心配」とのご相談がありました。 |
|---|---|
| 年齢・性別 |
8歳・小児 |
| カウンセリング・診断結果 |
むし歯ではなく、飲食物やプラークの付着による外因性の着色が認められました。歯の表面の汚れを適切に除去すれば、歯そのものの色は健康な状態であると判断しました。 |
| 行ったご提案・治療内容 |
歯を削らずに汚れを落とせるエアフロー(パウダークリーニング)によるクリーニングをご提案しました。歯面を傷つけにくく、短時間で着色を除去できる方法です。 |
| 術後の経過・現在の様子 |
着色が除去され、歯本来の自然な色調が回復しました。処置中の痛みもなく、治療後は見た目が明るくなったことを実感していただけました。 |
| 治療期間 |
1日 |
| 治療回数 |
1回 |
| 総額治療費の目安 |
エアフロー 1,980円(税別) |
| 治療のリスクについて |
強い着色がある場合や歯質の状態によっては、1回で完全に除去できない場合があります。また、処置後は再着色を防ぐためのセルフケアが重要です。 |
| クリニックより |
エアフローは、歯を削らずに着色や汚れを落とすことができる安全性の高いクリーニング方法です。小児の方でも負担が少なく、見た目の改善だけでなく、むし歯予防にもつながります。 |
スタッフ一同、皆様のご来院を「笑顔」でお待ちしています。
監修医・医院情報
監修医:小林 伸(医療法人KDS 理事長/日本臨床歯周病学会 認定医/ITIインプラントスペシャリスト/日本顎咬合学会 認定医)
専門:フルアーチインプラント、審美修復、歯周形成外科
所属:日本臨床歯周病学会、日本顎咬合学会、ITIインプラントメンバー ほか
当サイト内の文章、画像、動画等は知的財産権により守られています。
すべてのコンテンツの無断転載、無断引用はご遠慮ください。
転載・引用をご希望の場合は、必ず当院までご相談ください。
大崎オーバルコート歯科・矯正歯科室 理事長 小林 伸
医療法人社団KDS 大崎オーバルコート歯科・矯正歯科室:https://oval-dc.net/
〒141-0022 東京都品川区東五反田2-16-1 ザ・パークタワー1F
電話:03-5739-1625
電車でお越しの方:
JR線「大崎」駅より徒歩4分
JR線「五反田」駅より徒歩10分



