インプラント治療(ジルコニアブリッジ)
|
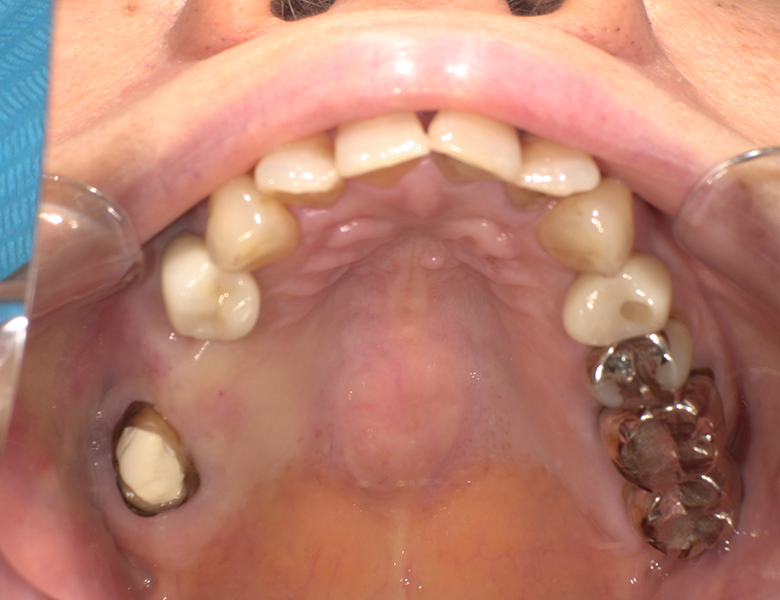
治療前 ![]() |
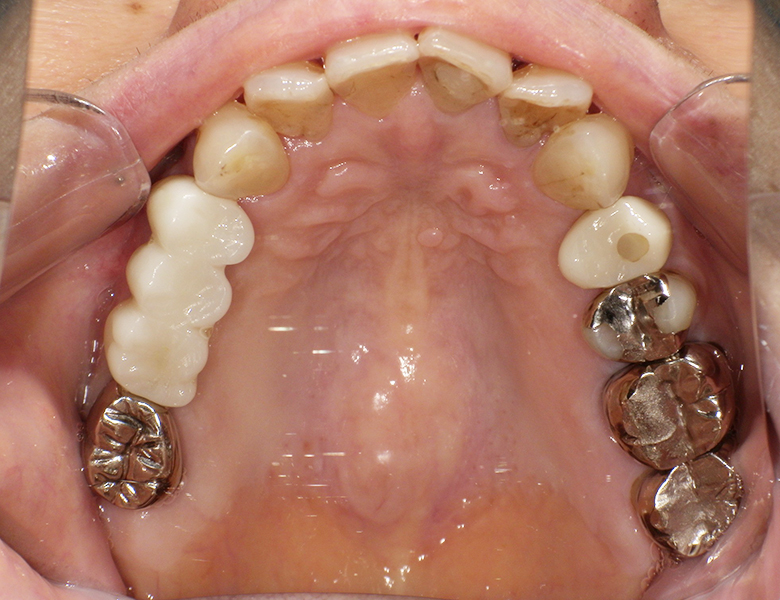
治療後 ![]() |
| 相談内容 |
上顎奥歯で噛みにくさがあり、食事のしづらさを感じて来院されました。あわせて、欠損部をしっかり噛める状態に回復したいというご希望がありました。 |
|---|---|
| 年齢・性別 |
70代 女性 |
| カウンセリング・診断結果 |
上顎右側の奥歯(14・16部位)が欠損しており、咀嚼機能の低下が認められました。部分入れ歯という選択肢も考えられましたが、装着感や安定性、残存歯への負担を考慮すると、固定式の治療が望ましい状態でした。 |
| 行ったご提案・治療内容 |
14・16部位にインプラントを埋入し、それを支台としてジルコニアブリッジを装着する治療をご提案しました。強度に優れ、見た目も自然なジルコニアを使用することで、長期的な安定性と審美性の両立を目指しました。 |
| 術後の経過・現在の様子 |
術後はしっかり噛めるようになり、食事の不安が解消されました。ブリッジ部も自然な色調で、周囲の歯と調和した仕上がりとなっています。現在はメンテナンスで良好な状態を維持されています。 |
| 治療期間 |
約半年 |
| 治療回数 |
複数回(インプラント埋入・上部構造作製) |
| 総額治療費の目安 |
インプラント+ジルコニアブリッジ |
| 治療のリスクについて |
外科処置を伴うため、治癒期間が必要となります。また、長期的な安定のためには、定期的なメンテナンスと清掃管理が重要です。 |
| クリニックより |
インプラントとジルコニアブリッジを組み合わせることで、しっかり噛める機能性と自然な見た目を両立することが可能です。入れ歯に抵抗がある方や、固定式での回復を希望される方に適した治療法です。 |
スタッフ一同、皆様のご来院を「笑顔」でお待ちしています。
監修医・医院情報
監修医:小林 伸(医療法人KDS 理事長/日本臨床歯周病学会 認定医/ITIインプラントスペシャリスト/日本顎咬合学会 認定医)
専門:フルアーチインプラント、審美修復、歯周形成外科
所属:日本臨床歯周病学会、日本顎咬合学会、ITIインプラントメンバー ほか
当サイト内の文章、画像、動画等は知的財産権により守られています。
すべてのコンテンツの無断転載、無断引用はご遠慮ください。
転載・引用をご希望の場合は、必ず当院までご相談ください。
大崎オーバルコート歯科・矯正歯科室 理事長 小林 伸
医療法人社団KDS 大崎オーバルコート歯科・矯正歯科室:https://oval-dc.net/
〒141-0022 東京都品川区東五反田2-16-1 ザ・パークタワー1F
電話:03-5739-1625
電車でお越しの方:
JR線「大崎」駅より徒歩4分
JR線「五反田」駅より徒歩10分



