前歯のガタつきをマウスピース矯正で改善した症例(30代女性・非抜歯)
|
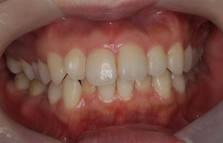
治療前 ![]() |
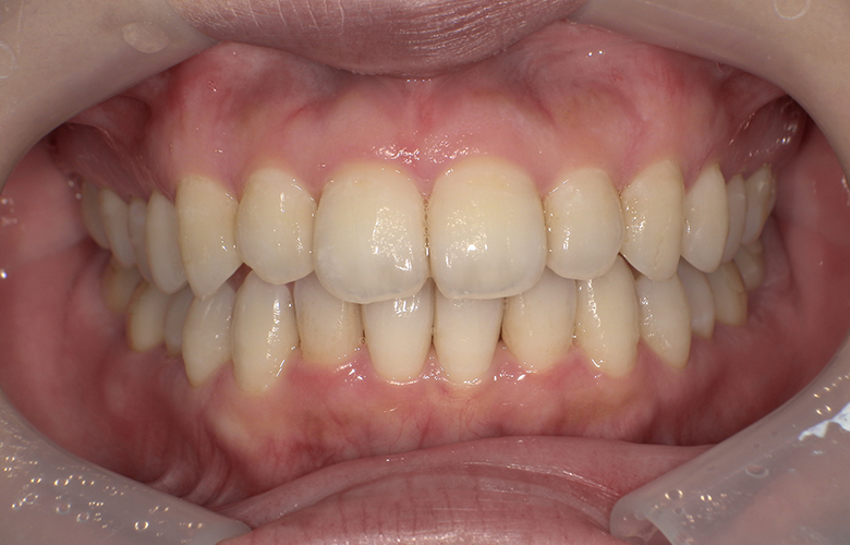
治療後 ![]() |
| 相談内容 |
「前歯の重なりが気になり、人前で笑うのをためらってしまう。できるだけ目立たず短期間で整えたい」とのご相談で来院されました。 |
|---|---|
| 年齢・性別 |
30代女性 |
| カウンセリング・診断結果 |
上下前歯部に軽度〜中等度の叢生(歯の重なり)を認めました。特に上顎前歯部にスペース不足があり、歯列の不調和が審美的な障害となっていました。咬合関係は大きな問題はなく、骨格的な異常も認められなかったため、非抜歯での矯正治療が可能と判断しました。 |
| 行ったご提案・治療内容 |
できるだけ目立たない治療を希望されたため、マウスピース型矯正装置を用いた治療をご提案しました。歯列のスペース確保のためにIPR(歯と歯の間の微小削合)を併用し、歯の移動量をコントロールしました。非抜歯で歯列を整えることで、自然な歯の形態を保ちながら審美性の改善を図りました。 |
| 術後の経過・現在の様子 |
前歯の重なりが解消され、歯列全体のバランスが整いました。見た目の改善により口元の印象が自然で明るくなり、清掃性も向上しています。咬合も安定しており、長期的な維持が期待されます。現在は保定装置を使用し、後戻り防止を行っています。 |
| 治療期間 |
約9か月 |
| 治療回数 |
約10回 |
| 総額治療費の目安 |
約60万円 ※症例により変動あり |
| 治療のリスクについて |
歯の移動に伴い軽度の痛みや違和感が生じることがあります。IPRを行う部位では知覚過敏が出る可能性があります。また、保定装置を適切に使用しない場合、後戻りのリスクがあります。歯肉退縮やブラックトライアングルが生じる可能性もあるため、経過観察が重要です。 |
| クリニックより |
本症例は、非抜歯かつ短期間で審美的改善を目指したケースです。患者様のライフスタイルに合わせた治療法を選択することで、無理なく継続できる矯正治療を提供しています。気になる歯並びは早期の相談が重要ですので、お気軽にご相談ください。 |
スタッフ一同、皆様のご来院を「笑顔」でお待ちしています。
監修医・医院情報
監修医:小林 伸(医療法人KDS 理事長/日本臨床歯周病学会 認定医/ITIインプラントスペシャリスト/日本顎咬合学会 認定医)
専門:フルアーチインプラント、審美修復、歯周形成外科
所属:日本臨床歯周病学会、日本顎咬合学会、ITIインプラントメンバー ほか
当サイト内の文章、画像、動画等は知的財産権により守られています。
すべてのコンテンツの無断転載、無断引用はご遠慮ください。
転載・引用をご希望の場合は、必ず当院までご相談ください。
大崎オーバルコート歯科・矯正歯科室 理事長 小林 伸
医療法人社団KDS 大崎オーバルコート歯科・矯正歯科室:https://oval-dc.net/
〒141-0022 東京都品川区東五反田2-16-1 ザ・パークタワー1F
電話:03-5739-1625
電車でお越しの方:
JR線「大崎」駅より徒歩4分
JR線「五反田」駅より徒歩10分



