前歯のガタつきと審美障害をマウスピース矯正で改善した症例(20代女性)
|
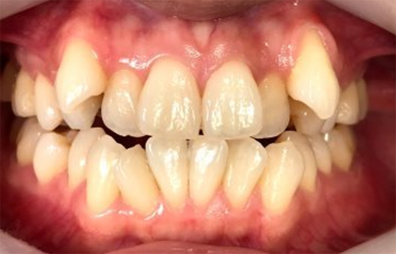
治療前 ![]() |
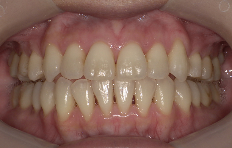
治療後 ![]() |
| 相談内容 |
「前歯のガタつきが気になる」「笑った時の見た目をきれいにしたい」と審美面を主訴に来院されました。特に上下前歯の不揃いと軽度の突出感を気にされていました。 |
|---|---|
| 年齢・性別 |
20代女性 |
| カウンセリング・診断結果 |
上下前歯部に叢生(歯の重なり)が認められ、歯列弓のスペース不足が原因と診断しました。咬合関係は大きなズレはないものの、前歯部の配列不正により清掃性の低下と軽度の審美障害が認められました。また、歯肉の状態から将来的にブラックトライアングルが生じるリスクも考えられました。 |
| 行ったご提案・治療内容 |
できる限り抜歯を避けたいというご希望を踏まえ、歯列の側方拡大およびIPR(歯間削合)を併用したマウスピース矯正を提案しました。これにより必要なスペースを確保し、前歯の配列改善を図りました。審美性と清掃性の向上を目的とした治療計画です。 |
| 術後の経過・現在の様子 |
前歯のガタつきは改善し、歯列全体が整いました。見た目の自然さが向上し、笑顔に自信が持てる状態となっています。また、歯並びの改善によりブラッシングがしやすくなり、口腔内環境の維持にも良好な影響が見られます。ブラックトライアングルも目立たない範囲にコントロールされています。 |
| 治療期間 |
約3年 |
| 治療回数 |
約20回 |
| 総額治療費の目安 |
約80万円 ※症例により変動あり |
| 治療のリスクについて |
歯の移動に伴う軽度の痛みや違和感が生じる場合があります。また、歯肉退縮やブラックトライアングルが生じる可能性があります。マウスピースの装着時間が不足すると、計画通りに歯が動かない場合があります。 |
| クリニックより |
本症例では、抜歯を回避しつつ審美性と機能性の両立を目指しました。前歯の軽度〜中等度の叢生でお悩みの方には、マウスピース矯正も一つの選択肢となります。患者様のご希望と口腔内の状態を踏まえ、適切な治療計画をご提案いたします。 |
スタッフ一同、皆様のご来院を「笑顔」でお待ちしています。
監修医・医院情報
監修医:小林 伸(医療法人KDS 理事長/日本臨床歯周病学会 認定医/ITIインプラントスペシャリスト/日本顎咬合学会 認定医)
専門:フルアーチインプラント、審美修復、歯周形成外科
所属:日本臨床歯周病学会、日本顎咬合学会、ITIインプラントメンバー ほか
当サイト内の文章、画像、動画等は知的財産権により守られています。
すべてのコンテンツの無断転載、無断引用はご遠慮ください。
転載・引用をご希望の場合は、必ず当院までご相談ください。
大崎オーバルコート歯科・矯正歯科室 理事長 小林 伸
医療法人社団KDS 大崎オーバルコート歯科・矯正歯科室:https://oval-dc.net/
〒141-0022 東京都品川区東五反田2-16-1 ザ・パークタワー1F
電話:03-5739-1625
電車でお越しの方:
JR線「大崎」駅より徒歩4分
JR線「五反田」駅より徒歩10分



