小児矯正(Ⅰ期治療)により交叉咬合および歯列不正を改善した症例(8歳女児)
|
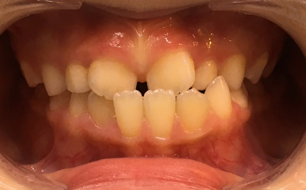
治療前 ![]() |
治療後 ![]() |
| 相談内容 |
歯並びが気になることと、歯が交差して生えていることを心配され来院されました。見た目だけでなく、噛み合わせへの影響も不安に感じておられました。 |
|---|---|
| 年齢・性別 | 初診時:8歳 女児 |
| カウンセリング・診断結果 |
上下前歯部に叢生傾向が認められ、加えて一部に交叉咬合が確認されました。歯列弓の幅が不足しており、このまま永久歯が萌出すると叢生の悪化や咬合のズレが進行する可能性がある状態でした。 |
| 行ったご提案・治療内容 |
成長期の顎の発育を利用した小児矯正(Ⅰ期治療)を行い、歯列の拡大と咬合の改善を図りました。混合歯列期(6EDC2112CDE6)において永久歯が正しく並ぶためのスペース確保を目的に治療を進めました。定期的な調整と経過観察を行いながら咬合誘導を行いました。 |
| 術後の経過・現在の様子 |
歯列の幅が拡大され、交叉咬合は改善しました。前歯の配列も整い、咬合バランスが安定しています。永久歯が並ぶためのスペースも確保され、将来的な歯列不正のリスクが軽減された状態です。必要に応じて永久歯列完成後にⅡ期治療を検討します。 |
| 治療期間 |
約3年 |
| 治療回数 |
月1回の通院 |
| 総額治療費の目安 |
430,000円(税抜) |
| 治療のリスクについて |
成長には個人差があるため、治療結果や期間には差が生じることがあります。また永久歯の萌出状況によっては、将来的にⅡ期矯正(成人矯正)が必要になる場合があります。 |
| クリニックより |
小児矯正におけるⅠ期治療の目的は、歯を無理に並べることではなく、顎の成長をコントロールし永久歯が正しく並ぶための環境を整えることです。本症例のように交叉咬合を早期に改善することで、顎の左右差や咬合のズレの進行を防ぐことが期待できます。お子様の歯並びや噛み合わせが気になる場合は、早めのご相談をおすすめします。 |
スタッフ一同、皆様のご来院を「笑顔」でお待ちしています。
監修医・医院情報
監修医:小林 伸(医療法人KDS 理事長/日本臨床歯周病学会 認定医/ITIインプラントスペシャリスト/日本顎咬合学会 認定医)
専門:フルアーチインプラント、審美修復、歯周形成外科
所属:日本臨床歯周病学会、日本顎咬合学会、ITIインプラントメンバー ほか
当サイト内の文章、画像、動画等は知的財産権により守られています。
すべてのコンテンツの無断転載、無断引用はご遠慮ください。
転載・引用をご希望の場合は、必ず当院までご相談ください。
大崎オーバルコート歯科・矯正歯科室 理事長 小林 伸
医療法人社団KDS 大崎オーバルコート歯科・矯正歯科室:https://oval-dc.net/
〒141-0022 東京都品川区東五反田2-16-1 ザ・パークタワー1F
電話:03-5739-1625
電車でお越しの方:
JR線「大崎」駅より徒歩4分
JR線「五反田」駅より徒歩10分



