小児矯正(Ⅰ期治療)により将来の歯列スペースを確保した症例(7歳女児)
|
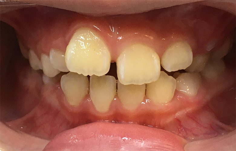
治療前 ![]() |
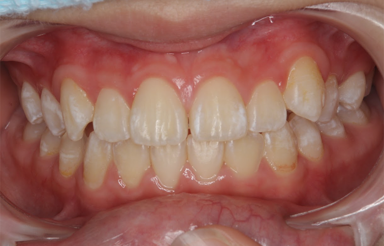
治療後 ![]() |
| 相談内容 |
前歯の歯並びの乱れと噛み合わせのズレが気になるとのことで来院されました。永久歯への生え変わりを迎える時期であり、将来的な歯並びを整えるために早期の矯正相談を希望されました。 |
|---|---|
| 年齢・性別 | 初診時:7歳 女児 |
| カウンセリング・診断結果 |
上下前歯部に叢生傾向が認められ、歯列弓の幅が不足している状態でした。このまま永久歯が萌出すると、歯の並ぶスペース不足により叢生が強くなる可能性がある状態でした。 |
| 行ったご提案・治療内容 |
成長期の顎の発育を利用した小児矯正(Ⅰ期治療)を行い、歯列の幅を拡大し永久歯が並ぶためのスペースを確保しました。混合歯列期(6EDC2112CDE6)の段階で適切な歯列弓を形成することを目的として治療を行いました。 |
| 術後の経過・現在の様子 |
歯列の幅が広がり、永久歯が萌出するためのスペースが確保されました。前歯の重なりも改善し、咬合バランスも安定しています。今後永久歯列完成後の叢生改善については、必要に応じてⅡ期治療(成人矯正)で最終的な歯列調整を行う可能性があります。 |
| 治療期間 |
約3年弱 |
| 治療回数 |
月1回の通院 |
| 総額治療費の目安 |
430,000円(税抜) |
| 治療のリスクについて |
成長には個人差があるため、治療期間や結果には差が生じる場合があります。永久歯の萌出状況によっては、将来的にⅡ期矯正(成人矯正)が必要になることがあります。 |
| クリニックより |
小児矯正のⅠ期治療は、歯を無理に並べることではなく、顎の成長を利用して永久歯が並ぶスペースを確保することが大きな目的です。本症例のように混合歯列期に適切な歯列弓を形成することで、将来的な歯列不正のリスクを軽減することが期待できます。歯並びが気になるお子様は、早めの相談をおすすめします。 |
スタッフ一同、皆様のご来院を「笑顔」でお待ちしています。
監修医・医院情報
監修医:小林 伸(医療法人KDS 理事長/日本臨床歯周病学会 認定医/ITIインプラントスペシャリスト/日本顎咬合学会 認定医)
専門:フルアーチインプラント、審美修復、歯周形成外科
所属:日本臨床歯周病学会、日本顎咬合学会、ITIインプラントメンバー ほか
当サイト内の文章、画像、動画等は知的財産権により守られています。
すべてのコンテンツの無断転載、無断引用はご遠慮ください。
転載・引用をご希望の場合は、必ず当院までご相談ください。
大崎オーバルコート歯科・矯正歯科室 理事長 小林 伸
医療法人社団KDS 大崎オーバルコート歯科・矯正歯科室:https://oval-dc.net/
〒141-0022 東京都品川区東五反田2-16-1 ザ・パークタワー1F
電話:03-5739-1625
電車でお越しの方:
JR線「大崎」駅より徒歩4分
JR線「五反田」駅より徒歩10分



