叢生および咬合不正に対して矯正治療を行った症例(20代女性)
|
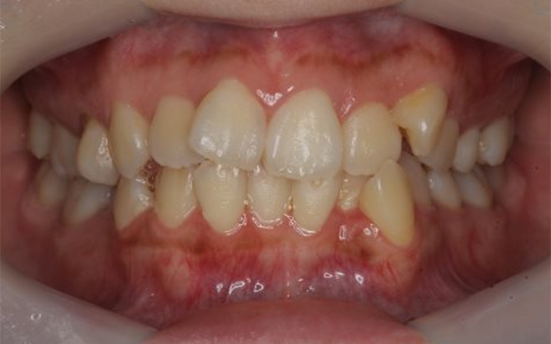
治療前 ![]() |
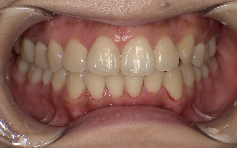
治療後 ![]() |
| 相談内容 |
歯並びのガタつきと前歯の噛み合わせが気になるとのことで来院されました。特に前歯の重なりや歯列の乱れを改善したいとのご希望でした。 |
|---|---|
| 年齢・性別 | 20代 女性 |
| カウンセリング・診断結果 |
上下顎前歯部に叢生が認められ、歯列全体のバランスが崩れている状態でした。前歯の重なりにより審美性だけでなく清掃性の低下も懸念される状態でした。 |
| 行ったご提案・治療内容 |
歯列全体のバランスを整えるため、矯正治療による歯列改善をご提案しました。歯の配列を整えながら咬合関係を改善し、審美性と機能性の両立を目指して治療を進めました。 |
| 術後の経過・現在の様子 |
歯列の重なりは改善し、前歯の見た目が整いました。咬合バランスも改善し、全体的に自然で調和の取れた歯並びとなりました。ただし患者様が海外移住予定となったため、当院での治療は途中段階で終了となりました。 |
| 治療期間 |
約2年前後 |
| 治療回数 |
11回 |
| 総額治療費の目安 |
約800,000円 |
| 治療のリスクについて |
矯正治療では歯の移動に伴う痛みや違和感が生じることがあります。また、治療途中で通院が困難になった場合、計画通りの最終結果に到達しない可能性があります。 |
| クリニックより |
矯正治療は継続的な通院が重要ですが、今回のように途中まででも歯列の改善が見られるケースもあります。生活環境の変化などで通院が難しい場合も、可能な範囲で治療計画をご提案いたします。 |
スタッフ一同、皆様のご来院を「笑顔」でお待ちしています。
監修医・医院情報
監修医:小林 伸(医療法人KDS 理事長/日本臨床歯周病学会 認定医/ITIインプラントスペシャリスト/日本顎咬合学会 認定医)
専門:フルアーチインプラント、審美修復、歯周形成外科
所属:日本臨床歯周病学会、日本顎咬合学会、ITIインプラントメンバー ほか
当サイト内の文章、画像、動画等は知的財産権により守られています。
すべてのコンテンツの無断転載、無断引用はご遠慮ください。
転載・引用をご希望の場合は、必ず当院までご相談ください。
大崎オーバルコート歯科・矯正歯科室 理事長 小林 伸
医療法人社団KDS 大崎オーバルコート歯科・矯正歯科室:https://oval-dc.net/
〒141-0022 東京都品川区東五反田2-16-1 ザ・パークタワー1F
電話:03-5739-1625
電車でお越しの方:
JR線「大崎」駅より徒歩4分
JR線「五反田」駅より徒歩10分



