下顎前歯のブラックトライアングルおよび歯肉退縮に対する審美改善(結合組織移植)
2026/03/05
|
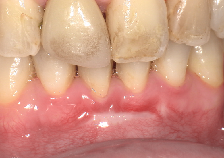
治療前 ![]() |
治療後 ![]() |
| 相談内容 |
矯正治療後、下顎前歯の隙間(ブラックトライアングル)と、右下前歯部の歯肉退縮による見た目の悪さが気になるとのことで来院されました。 |
|---|---|
| 年齢・性別 | 30代 女性 |
| カウンセリング・診断結果 |
下顎前歯部にブラックトライアングルが認められ、右下前歯部には歯肉退縮が見られました。歯根露出による審美障害および将来的な知覚過敏・根面う蝕リスクが懸念される状態でした。 |
| 行ったご提案・治療内容 |
審美性と歯周組織の安定性を回復するため、結合組織移植術(CTG)による歯肉ボリュームの回復と歯肉ラインの改善を行いました。 |
| 術後の経過・現在の様子 |
約2か月で歯肉の厚みが回復し、歯肉退縮が改善しました。ブラックトライアングルも目立ちにくくなり、自然な歯肉ラインへと改善しています。現在見られる下方の瘢痕様部分も、今後さらに目立たなくなっていく見込みです。 |
| 治療期間 |
2か月 |
| 治療回数 |
数回 |
| 総額治療費の目安 |
110,000円(税込)/1歯 |
| 治療のリスクについて |
術後の腫れや違和感が生じることがあります。歯肉の治癒や最終的な形態には個人差があります。適切な口腔衛生管理が結果の安定に重要です。 |
スタッフ一同、皆様のご来院を「笑顔」でお待ちしています。
監修医・医院情報
監修医:小林 伸(医療法人KDS 理事長/日本臨床歯周病学会 認定医/ITIインプラントスペシャリスト/日本顎咬合学会 認定医)
専門:フルアーチインプラント、審美修復、歯周形成外科
所属:日本臨床歯周病学会、日本顎咬合学会、ITIインプラントメンバー ほか
当サイト内の文章、画像、動画等は知的財産権により守られています。
すべてのコンテンツの無断転載、無断引用はご遠慮ください。
転載・引用をご希望の場合は、必ず当院までご相談ください。
大崎オーバルコート歯科・矯正歯科室 理事長 小林 伸
医療法人社団KDS 大崎オーバルコート歯科・矯正歯科室:https://oval-dc.net/
〒141-0022 東京都品川区東五反田2-16-1 ザ・パークタワー1F
電話:03-5739-1625
電車でお越しの方:
JR線「大崎」駅より徒歩4分
JR線「五反田」駅より徒歩10分



