メタル修復の審美障害および二次カリエスに対しセラミックインレーへ置換した症例(50代女性)
2026/03/05
|
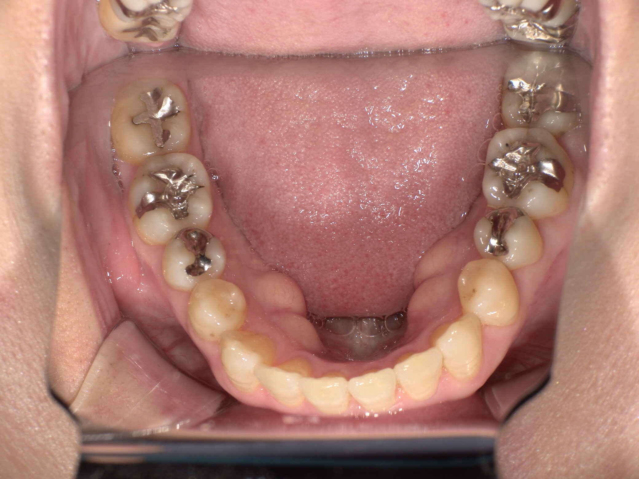
治療前 ![]() |
治療後 ![]() |
| 相談内容 |
銀歯の見た目が気になること、詰め物の下のむし歯が心配とのことで来院されました。 |
|---|---|
| 年齢・性別 | 50代 女性 |
| 主訴歯 | 35・45(下顎第二小臼歯) |
| カウンセリング・診断結果 |
既存のメタルインレー周囲に変色および適合不良が認められ、二次カリエスを確認しました。審美的な問題だけでなく、今後のむし歯再発リスクも考慮し、再治療が必要と判断しました。 |
| 行ったご提案・治療内容 |
メタルインレーを除去し、う蝕を確実に除去した上で、メタルフリー修復としてセラミックインレーを選択。天然歯に近い色調・透明感を再現し、適合精度の高い修復を行いました。 |
| 術後の経過・現在の様子 |
金属色がなくなり、口を開けた際にも自然な見た目になりました。適合も良好で、清掃性が向上し、再発リスクの低減が期待されます。 |
| 治療回数 |
2回 |
| 総額治療費の目安 |
98,780円(税込)/1歯 |
| 治療のリスクについて |
セラミックは強度に優れていますが、強い咬合力や歯ぎしりにより破折する可能性があります。また、適切なメンテナンスを行わない場合、再度むし歯が発生する可能性があります。定期的な検診を推奨しています。 |
スタッフ一同、皆様のご来院を「笑顔」でお待ちしています。
監修医・医院情報
監修医:小林 伸(医療法人KDS 理事長/日本臨床歯周病学会 認定医/ITIインプラントスペシャリスト/日本顎咬合学会 認定医)
専門:フルアーチインプラント、審美修復、歯周形成外科
所属:日本臨床歯周病学会、日本顎咬合学会、ITIインプラントメンバー ほか
当サイト内の文章、画像、動画等は知的財産権により守られています。
すべてのコンテンツの無断転載、無断引用はご遠慮ください。
転載・引用をご希望の場合は、必ず当院までご相談ください。
大崎オーバルコート歯科・矯正歯科室 理事長 小林 伸
医療法人社団KDS 大崎オーバルコート歯科・矯正歯科室:https://oval-dc.net/
〒141-0022 東京都品川区東五反田2-16-1 ザ・パークタワー1F
電話:03-5739-1625
電車でお越しの方:
JR線「大崎」駅より徒歩4分
JR線「五反田」駅より徒歩10分



