小児矯正(MRC)により歯列と咬合を改善した症例(8歳女児)
|
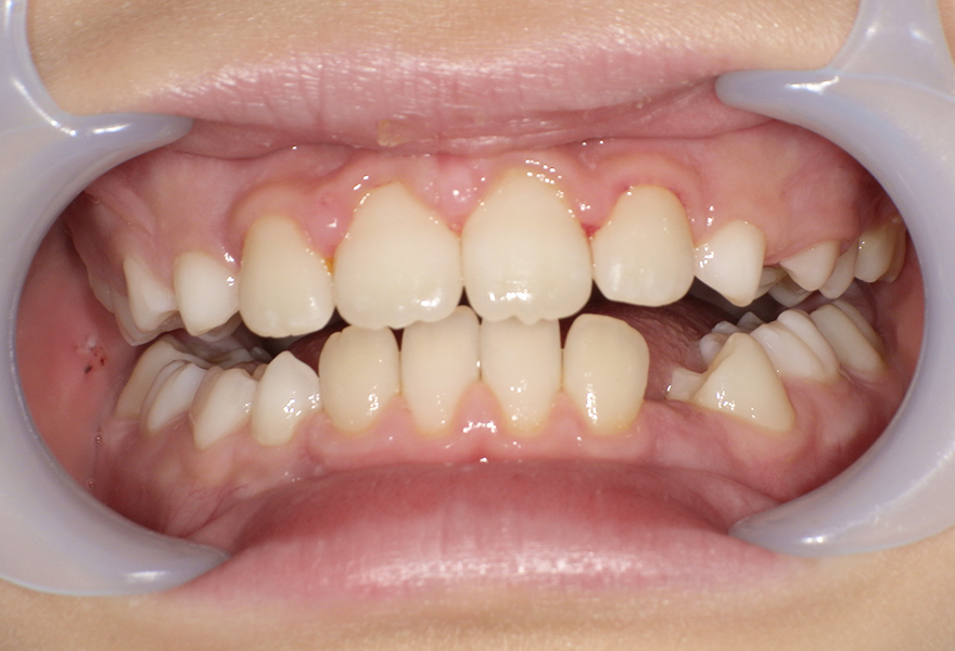
治療前 ![]() |
治療後 ![]() |
| 相談内容 |
前歯のガタつきと噛み合わせのズレが気になるとのことで来院されました。上下の前歯が重なり合い、将来的な永久歯の生え変わりや歯並びへの影響を心配されていました。 |
|---|---|
| 年齢・性別 |
初診時:8歳3か月 女児 |
| カウンセリング・診断結果 |
拝見したところ、上下顎前歯部に叢生傾向があり、歯列の幅が狭く、舌の位置や口呼吸などの口腔習癖も歯並びに影響している状態でした。このまま成長すると、将来的に本格的な矯正治療が必要になる可能性が高いと判断しました。 |
| 行ったご提案・治療内容 |
拝見したところ、上下顎前歯部に叢生傾向があり、歯列の幅が狭く、舌の位置や口呼吸などの口腔習癖も歯並びに影響している状態でした。このまま成長すると、将来的に本格的な矯正治療が必要になる可能性が高いと判断しました。 |
| 術後の経過・現在の様子 |
10歳10か月時点で、歯列の幅が広がり、前歯の重なりが改善されました。上下の噛み合わせも安定し、永久歯が並ぶためのスペースが確保されています。口元の見た目が整っただけでなく、清掃性も向上しています。 |
| 治療期間 |
約2年7か月(Ⅰ期治療) |
| 治療回数 |
定期的な経過チェック(数か月ごと) |
| 総額治療費の目安 |
430,000円(税別) |
| 治療のリスクについて |
装置の使用時間が不足すると、十分な効果が得られない可能性があります。成長には個人差があるため、治療結果には差が生じることがあります。永久歯の萌出状況によっては、将来的にⅡ期治療が必要になる場合があります。 |
| クリニックより |
成長期のお子さまは、顎の発育をコントロールしながら歯並びを整えることが可能です。本症例では、早期に介入することで、将来的な抜歯矯正のリスクを減らし、自然な歯列発育を促すことができました。歯並びや噛み合わせが気になる場合は、できるだけ早めのご相談をおすすめします。 |
スタッフ一同、皆様のご来院を「笑顔」でお待ちしています。
監修医・医院情報
監修医:小林 伸(医療法人KDS 理事長/日本臨床歯周病学会 認定医/ITIインプラントスペシャリスト/日本顎咬合学会 認定医)
専門:フルアーチインプラント、審美修復、歯周形成外科
所属:日本臨床歯周病学会、日本顎咬合学会、ITIインプラントメンバー ほか
当サイト内の文章、画像、動画等は知的財産権により守られています。
すべてのコンテンツの無断転載、無断引用はご遠慮ください。
転載・引用をご希望の場合は、必ず当院までご相談ください。
大崎オーバルコート歯科・矯正歯科室 理事長 小林 伸
医療法人社団KDS 大崎オーバルコート歯科・矯正歯科室:https://oval-dc.net/
〒141-0022 東京都品川区東五反田2-16-1 ザ・パークタワー1F
電話:03-5739-1625
電車でお越しの方:
JR線「大崎」駅より徒歩4分
JR線「五反田」駅より徒歩10分



