ジルコニアインレー治療(メタル修復による審美障害・金属アレルギーへの配慮)
2026/01/16
|
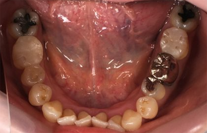
治療前 ![]() |
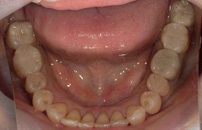
治療後 ![]() |
| 相談内容 |
奥歯で噛んだ際の違和感があり来院されました。あわせて、既存の金属修復物が目立つことによる審美的なストレスがあり、さらに金属アレルギーへの不安も感じていらっしゃいました。 |
|---|---|
| 年齢・性別 |
60代 女性 |
| カウンセリング・診断結果 |
強い咬合力による歯牙破折が認められ、その破折部から細菌が侵入したことによるう蝕が確認されました。また、既存のメタル修復物により、見た目の問題(審美障害)だけでなく、金属材料による身体への影響も懸念される状態でした。 |
| 行ったご提案・治療内容 |
破折およびう蝕部分を適切に除去した後、金属を使用しないジルコニアインレーによる修復を行いました。咬合力を考慮しながら、歯への負担を最小限に抑え、審美性・強度・生体親和性のすべてを重視した治療計画としました。また、矯正治療も行いました。 |
| 術後の経過・現在の様子 |
術後は噛み合わせ時の違和感も改善し、自然な見た目で口元を気にせず過ごしていただけるようになりました。金属を使用していないため、金属アレルギーの不安も解消されています。 |
| 治療期間 |
数回(部位・状態により異なります) |
| 治療回数 |
2〜3回 |
| 総額治療費の目安 |
ジルコニアインレー 1歯あたり 79,800円(税別) |
| 治療のリスクについて |
咬合力が強い場合、将来的に他の歯に負担がかかる可能性があります。そのため、定期的な噛み合わせのチェックとメンテナンスが重要です。 |
| クリニックより |
ジルコニアインレーは、金属を使用しないため審美性が高く、金属アレルギーの心配がない修復方法です。噛む力が強い方や、見た目と健康の両立を重視される方に適した治療です。 |
スタッフ一同、皆様のご来院を「笑顔」でお待ちしています。
監修医・医院情報
監修医:小林 伸(医療法人KDS 理事長/日本臨床歯周病学会 認定医/ITIインプラントスペシャリスト/日本顎咬合学会 認定医)
専門:フルアーチインプラント、審美修復、歯周形成外科
所属:日本臨床歯周病学会、日本顎咬合学会、ITIインプラントメンバー ほか
当サイト内の文章、画像、動画等は知的財産権により守られています。
すべてのコンテンツの無断転載、無断引用はご遠慮ください。
転載・引用をご希望の場合は、必ず当院までご相談ください。
大崎オーバルコート歯科・矯正歯科室 理事長 小林 伸
医療法人社団KDS 大崎オーバルコート歯科・矯正歯科室:https://oval-dc.net/
〒141-0022 東京都品川区東五反田2-16-1 ザ・パークタワー1F
電話:03-5739-1625
電車でお越しの方:
JR線「大崎」駅より徒歩4分
JR線「五反田」駅より徒歩10分



