咬合力による歯牙破折から生じたう蝕をジルコニアインレーで修復した症例(50代男性)
|
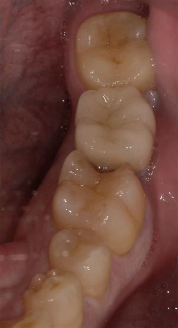
治療前 ![]() |
治療後 ![]() |
| 相談内容 |
奥歯で噛んだ際の違和感があり、食事中に物が詰まるのと、痛みを感じることがあるとのことで来院されました。できるだけ長期的に安定する治療をご希望でした。 |
|---|---|
| 年齢・性別 |
50代 男性 |
| カウンセリング・診断結果 |
拝見したところ、強い咬合力により歯牙に微細な破折(クラック)が生じ、そこから細菌が侵入してう蝕が発生し、食事中に大きく歯牙が欠けた状態でした。歯質の残存量は十分で、被せ物ではなくインレー修復が可能と判断しました。再発防止の観点からも、材料選択が重要な症例でした。 |
| 行ったご提案・治療内容 |
破折部およびう蝕部分を適切に除去し、歯質を極力温存した形成を行いました。その後、高強度で耐破折性に優れるジルコニアインレーによる修復を行い、咬合力に耐えうる安定した咬合を回復しました。 |
| 術後の経過・現在の様子 |
咬合時の違和感は消失し、安定した噛み心地を取り戻しています。天然歯に近い色調で仕上がり、清掃性も良好です。現在は定期メンテナンスで経過を観察しています。 |
| 治療期間 |
約2〜3週間 |
| 治療回数 |
2回(形成・装着) |
| 総額治療費の目安 |
79,800円(税別) |
| 治療のリスクについて |
強い歯ぎしり・食いしばりがある場合、再度歯牙破折や修復物に過度な力がかかる可能性があります。必要に応じてナイトガードの併用をおすすめすることがあります。 |
| クリニックより |
咬合力による歯牙破折は自覚症状が出にくく、気付いたときにはう蝕が進行しているケースも少なくありません。本症例では、原因に配慮した材料選択と咬合設計により、再発リスクを抑えた修復を行いました。強く噛む癖や歯ぎしりが気になる方は、早めのチェックをおすすめします。 |
スタッフ一同、皆様のご来院を「笑顔」でお待ちしています。
監修医・医院情報
監修医:小林 伸(医療法人KDS 理事長/日本臨床歯周病学会 認定医/ITIインプラントスペシャリスト/日本顎咬合学会 認定医)
専門:フルアーチインプラント、審美修復、歯周形成外科
所属:日本臨床歯周病学会、日本顎咬合学会、ITIインプラントメンバー ほか
当サイト内の文章、画像、動画等は知的財産権により守られています。
すべてのコンテンツの無断転載、無断引用はご遠慮ください。
転載・引用をご希望の場合は、必ず当院までご相談ください。
大崎オーバルコート歯科・矯正歯科室 理事長 小林 伸
医療法人社団KDS 大崎オーバルコート歯科・矯正歯科室:https://oval-dc.net/
〒141-0022 東京都品川区東五反田2-16-1 ザ・パークタワー1F
電話:03-5739-1625
電車でお越しの方:
JR線「大崎」駅より徒歩4分
JR線「五反田」駅より徒歩10分



