メタルによる審美障害と金属アレルギーへの不安をジルコニアインレーで改善した症例(50代女性)
2025/12/30
|
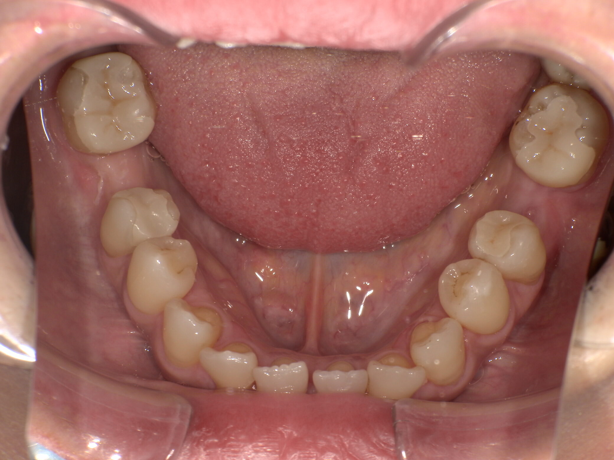
治療前 ![]() |
治療後 ![]() |
| 相談内容 |
下臼歯部に入っている金属の詰め物が目立つことに加え、経年的な劣化やむし歯の再発が気になるとのことで来院されました。また、将来的な金属アレルギーのリスクについても不安を感じており、「できれば口の中から金属を減らしたい」というご希望がありました。 |
|---|---|
| 年齢・性別 |
50代 女性 |
| カウンセリング・診断結果 |
拝見したところ、34・36・46に金属修復物が装着されており、周囲には二次う蝕と金属特有の色調不調和が認められました。歯質の残存量は十分で、被せ物ではなくインレー修復が可能な状態でした。審美性の改善に加え、金属アレルギーの観点からもメタルフリー治療が適応と判断しました。 |
| 行ったご提案・治療内容 |
既存のメタルインレーを除去し、むし歯部分を適切に処置したうえで、金属を一切使用しないジルコニアインレーによる修復を提案しました。ジルコニアは高い強度と耐久性を持ち、白く自然な色調で、金属アレルギーの心配がない材料です。歯質を可能な限り温存した形成を行いました。 |
| 術後の経過・現在の様子 |
金属が見えていた臼歯部は自然な歯の色調に改善され、口を開けた際の印象が大きく向上しました。噛み合わせも安定し、見た目・機能ともにご満足いただいています。金属アレルギーに対する不安も解消され、現在は定期メンテナンスで経過を観察しています。 |
| 治療期間 |
約2〜3週間 |
| 治療回数 |
2回(形成・装着) |
| 総額治療費の目安 |
1本 79,800円(税別) × 3本 |
| 治療のリスクについて |
強い歯ぎしり・食いしばりがある場合、修復物に過度な力がかかる可能性があります。咬合状態により、ナイトガードの併用をおすすめする場合があります。 |
| クリニックより |
金属修復は機能的に問題がなくても、審美性や二次う蝕、金属アレルギーへの不安から見直しを希望される方が増えています。本症例では、ジルコニアインレーにより「白く自然な見た目」「高い耐久性」「メタルフリーによる安心感」を同時に実現できました。金属を使わない治療をご検討の方は、ぜひご相談ください。 |
スタッフ一同、皆様のご来院を「笑顔」でお待ちしています。
監修医・医院情報
監修医:小林 伸(医療法人KDS 理事長/日本臨床歯周病学会 認定医/ITIインプラントスペシャリスト/日本顎咬合学会 認定医)
専門:フルアーチインプラント、審美修復、歯周形成外科
所属:日本臨床歯周病学会、日本顎咬合学会、ITIインプラントメンバー ほか
当サイト内の文章、画像、動画等は知的財産権により守られています。
すべてのコンテンツの無断転載、無断引用はご遠慮ください。
転載・引用をご希望の場合は、必ず当院までご相談ください。
大崎オーバルコート歯科・矯正歯科室 理事長 小林 伸
医療法人社団KDS 大崎オーバルコート歯科・矯正歯科室:https://oval-dc.net/
〒141-0022 東京都品川区東五反田2-16-1 ザ・パークタワー1F
電話:03-5739-1625
電車でお越しの方:
JR線「大崎」駅より徒歩4分
JR線「五反田」駅より徒歩10分



