上下顎の叢生をインビザラインで改善した症例(40代女性)
2025/12/30
|
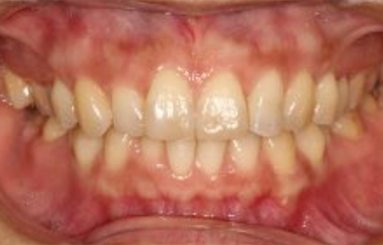
治療前 ![]() |
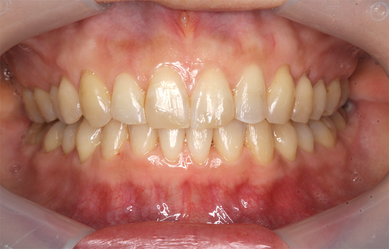
治療後 ![]() |
| 相談内容 |
下顎左側から3番目の歯が内側に倒れ込むように位置しており、前歯のデコボコ(叢生)が気になるとのことで来院されました。正面から見た際に、左右で歯並びの見え方が異なり、非対称に見える点を特に気にされていました。 |
|---|---|
| 年齢・性別 |
40代 女性 |
| カウンセリング・診断結果 |
拝見したところ、下顎左側犬歯部付近に歯の内側転位を伴う叢生が認められました。また、下顎前歯部には軽度の叢生も見られ、歯列全体のバランスが崩れている状態でした。咬合自体は大きな問題はなく、非抜歯での改善が可能と判断しました。 |
| 行ったご提案・治療内容 |
見た目に配慮し、できるだけ抜歯を避けたいとのご希望から、インビザラインによる非抜歯矯正をご提案しました。歯列アーチを整えながら、内側に倒れ込んでいた歯の位置を改善し、上下顎全体の歯列バランスを調整しました。アライナーは1日20時間以上の装着を指導しました。 |
| 術後の経過・現在の様子 |
内側に倒れていた歯は適切な位置に移動し、左右差のある見え方が改善されました。上下顎ともに歯列が滑らかに整い、見た目の印象だけでなく清掃性も向上しています。現在は保定期間に入り、経過観察を行っています。 |
| 治療期間 |
約6か月(追加アライナー1回作成) |
| 治療回数 |
8〜12回(経過チェック含む) |
| 総額治療費の目安 |
約500,000円(税別) |
| 治療のリスクについて |
アライナーの装着時間が不足すると、計画通りに歯が移動しない可能性があります。歯の移動に伴い一時的な違和感や痛みが出ることがあります。治療後にリテーナーを適切に使用しない場合、後戻りが生じる可能性があります。 |
| クリニックより |
上下顎の軽度〜中等度の叢生は、インビザラインによる非抜歯矯正で短期間に改善できるケースも多くあります。本症例では、見た目の左右差と叢生を同時に改善することができました。歯並びの非対称が気になる方も、ぜひ一度ご相談ください。 |
スタッフ一同、皆様のご来院を「笑顔」でお待ちしています。
監修医・医院情報
監修医:小林 伸(医療法人KDS 理事長/日本臨床歯周病学会 認定医/ITIインプラントスペシャリスト/日本顎咬合学会 認定医)
専門:フルアーチインプラント、審美修復、歯周形成外科
所属:日本臨床歯周病学会、日本顎咬合学会、ITIインプラントメンバー ほか
当サイト内の文章、画像、動画等は知的財産権により守られています。
すべてのコンテンツの無断転載、無断引用はご遠慮ください。
転載・引用をご希望の場合は、必ず当院までご相談ください。
大崎オーバルコート歯科・矯正歯科室 理事長 小林 伸
医療法人社団KDS 大崎オーバルコート歯科・矯正歯科室:https://oval-dc.net/
〒141-0022 東京都品川区東五反田2-16-1 ザ・パークタワー1F
電話:03-5739-1625
電車でお越しの方:
JR線「大崎」駅より徒歩4分
JR線「五反田」駅より徒歩10分



