軽度叢生をインビザラインで改善した症例(10代女性)
2025/12/14
|
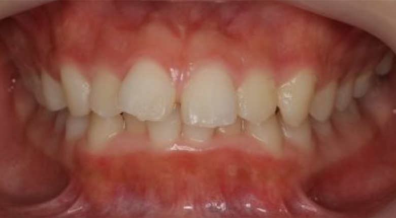
治療前 ![]() |
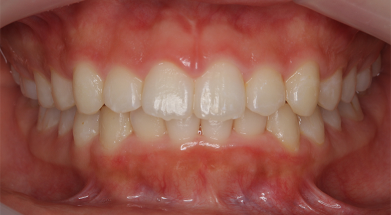
治療後 ![]() |
| 相談内容 |
上の前歯が前方へ出て見える、真ん中にわずかな隙間がある、さらに上下前歯のデコボコが気になるとのことで来院されました。 |
|---|---|
| 年齢・性別 |
10代 女性 |
| カウンセリング・診断結果 |
拝見したところ、上顎前歯の軽度前突に加え、上下前歯部に叢生を認める状態でした。 |
| 行ったご提案・治療内容 |
目立たず日常生活に支障が少ない矯正方法をご希望されたため、インビザラインを提案しました。 |
| 術後の経過・現在の様子 |
上顎前歯の前突感が改善され、左右の切縁ラインが整いました。上下前歯の叢生も解消し、全体の歯列アーチが滑らかになりました。 |
| 治療期間 |
約1年(追加アライナーあり) |
| 治療回数 |
12〜16回(一般的なインビザラインチェック頻度に準拠) |
| 総額治療費の目安 |
800,000円(税別) |
| 治療のリスクについて |
アライナーの装着時間が不足すると計画通りに歯が移動しない可能性があります。 |
| クリニックより |
インビザラインは、見た目に配慮したまま歯並びを整えられる優れた治療法です。 |
スタッフ一同、皆様のご来院を「笑顔」でお待ちしています。
監修医・医院情報
監修医:小林 伸(医療法人KDS 理事長/日本臨床歯周病学会 認定医/ITIインプラントスペシャリスト/日本顎咬合学会 認定医)
専門:フルアーチインプラント、審美修復、歯周形成外科
所属:日本臨床歯周病学会、日本顎咬合学会、ITIインプラントメンバー ほか
当サイト内の文章、画像、動画等は知的財産権により守られています。
すべてのコンテンツの無断転載、無断引用はご遠慮ください。
転載・引用をご希望の場合は、必ず当院までご相談ください。
大崎オーバルコート歯科・矯正歯科室 理事長 小林 伸
医療法人社団KDS 大崎オーバルコート歯科・矯正歯科室:https://oval-dc.net/
〒141-0022 東京都品川区東五反田2-16-1 ザ・パークタワー1F
電話:03-5739-1625
電車でお越しの方:
JR線「大崎」駅より徒歩4分
JR線「五反田」駅より徒歩10分



