前歯のねじれ・出っ歯感をインビザラインで改善した症例
2025/12/14
|
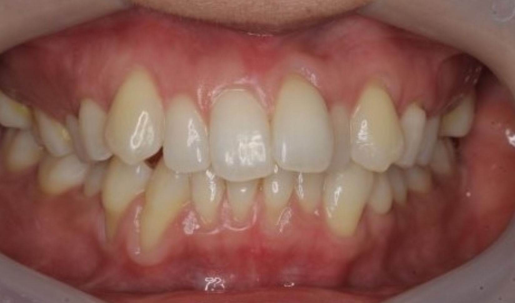
治療前 ![]() |
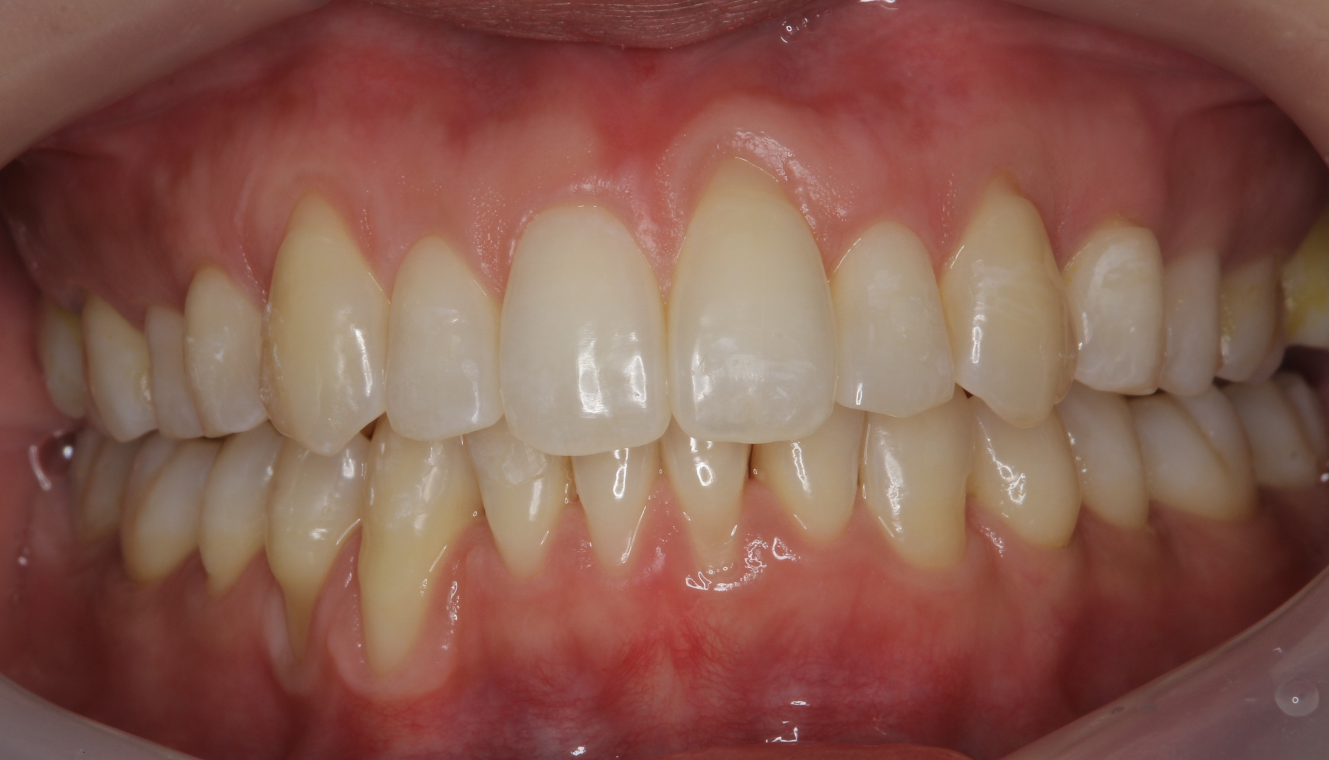
治療後 ![]() |
| 相談内容 |
上下の前歯にねじれがあり、特に上の前歯の前突感が気になるとのことで来院されました。 |
|---|---|
| 年齢・性別 |
30代 女性 |
| カウンセリング・診断結果 |
拝見したところ、上顎前歯の前突(軽度の上顎前突)と、上下前歯部に中等度の叢生(デコボコ)が認められました。 |
| 行ったご提案・治療内容 |
目立たない治療をご希望されたため、インビザラインを用いたマウスピース矯正をご提案しました。 |
| 術後の経過・現在の様子 |
上の前歯の前突感が大幅に改善し、歯のねじれもほぼ解消され、スマイルラインが自然で美しく整いました。 |
| 治療期間 |
約12か月 |
| 治療回数 |
12〜16回(一般的なインビザラインのチェック回数を想定) |
| 総額治療費の目安 |
800,000円(税別) |
| 治療のリスクについて |
アライナーの装着時間が不足すると、計画通りに歯が移動しない可能性があります。 |
| クリニックより |
インビザラインは、目立たずに前歯のねじれ・前突の改善ができる優れた矯正システムです。 |
スタッフ一同、皆様のご来院を「笑顔」でお待ちしています。
監修医・医院情報
監修医:小林 伸(医療法人KDS 理事長/日本臨床歯周病学会 認定医/ITIインプラントスペシャリスト/日本顎咬合学会 認定医)
専門:フルアーチインプラント、審美修復、歯周形成外科
所属:日本臨床歯周病学会、日本顎咬合学会、ITIインプラントメンバー ほか
当サイト内の文章、画像、動画等は知的財産権により守られています。
すべてのコンテンツの無断転載、無断引用はご遠慮ください。
転載・引用をご希望の場合は、必ず当院までご相談ください。
大崎オーバルコート歯科・矯正歯科室 理事長 小林 伸
医療法人社団KDS 大崎オーバルコート歯科・矯正歯科室:https://oval-dc.net/
〒141-0022 東京都品川区東五反田2-16-1 ザ・パークタワー1F
電話:03-5739-1625
電車でお越しの方:
JR線「大崎」駅より徒歩4分
JR線「五反田」駅より徒歩10分



