歯並びのガタつきと前歯の捻じれが気になる。歯列拡大とアライナー矯正の併用により非抜歯で叢生を改善した症例
2025/12/30
|
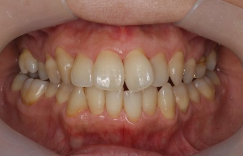
治療前 ![]() |
治療後 ![]() |
| 相談内容 |
歯並びのガタつきと前歯の捻じれを気にされて来院されました。 |
|---|---|
| 年齢・性別 |
50代 女性 |
| カウンセリング・診断結果 |
拝見したところ、上下顎ともに叢生(デコボコ)が認められ、特に下顎前歯部でのスペース不足が顕著でした。 |
| 行ったご提案・治療内容 |
歯列の幅径不足を改善するため、拡大とアライナー矯正を併用した治療を提案しました。 |
| 術後の経過・現在の様子 |
歯並びの改善により、前歯の捻じれが解消し、全体的なアーチフォームが整いました。 |
| 治療期間 |
約12か月 |
| 治療回数 |
8回 |
| 総額治療費の目安 |
矯正費用 約800,000円(税別) |
| 治療のリスクについて |
歯の移動に伴い一時的に痛みを感じる場合があります。 |
| クリニックより |
今回の症例では、歯列拡大とアライナー矯正の併用により、抜歯を行わずに自然でバランスの取れた歯並びを獲得できました。 |
スタッフ一同、皆様のご来院を「笑顔」でお待ちしています。
監修医・医院情報
監修医:小林 伸(医療法人KDS 理事長/日本臨床歯周病学会 認定医/ITIインプラントスペシャリスト/日本顎咬合学会 認定医)
専門:フルアーチインプラント、審美修復、歯周形成外科
所属:日本臨床歯周病学会、日本顎咬合学会、ITIインプラントメンバー ほか
当サイト内の文章、画像、動画等は知的財産権により守られています。
すべてのコンテンツの無断転載、無断引用はご遠慮ください。
転載・引用をご希望の場合は、必ず当院までご相談ください。
大崎オーバルコート歯科・矯正歯科室 理事長 小林 伸
医療法人社団KDS 大崎オーバルコート歯科・矯正歯科室:https://oval-dc.net/
〒141-0022 東京都品川区東五反田2-16-1 ザ・パークタワー1F
電話:03-5739-1625
電車でお越しの方:
JR線「大崎」駅より徒歩4分
JR線「五反田」駅より徒歩10分



