たかくら歯科・矯正歯科クリニック 医院ブログ
-
-
2026/04/15
ホワイトスポットを削らずに改善した症例(20代女性)
治療前 治療後 相談内容 前歯の白い斑点(ホワイトスポット)が気に ...
-
-
2026/04/10
前歯のガタつきと審美障害をマウスピース矯正で改善した症例(20代女性)
治療前 治療後 相談内容 「前歯のガタつきが気になる」「笑った時の ...
-
-
2026/04/09
亜鉛が足りないとこうなる 風邪・だるさ・口内トラブルとの意外な関係
目次 目次 亜鉛は「味覚」と「免疫」を支える縁の下の力持ち 亜鉛不足で起こりやす ...
-
-
2026/04/02
小児矯正(Ⅰ期治療)により交叉咬合および歯列不正を改善した症例(8歳女児)
治療前 治療後 相談内容 歯並びが気になることと、歯が交差して生え ...
-
-
2026/04/01
4月1日の診療時間について
~大崎オーバルコート歯科・矯正歯科室からお知らせ~ 4月1日(水) ...
-
-
2026/03/23
電動歯ブラシ・ジェットウォッシャー・舌磨きは必要?手動との違いと効果
みなさん。お口のケアはどのようにしていますか? もちろん1日3回の歯磨き。めんど ...
-
-
2026/03/14
小児矯正(Ⅰ期治療)により将来の歯列スペースを確保した症例(7歳女児)
治療前 治療後 相談内容 前歯の歯並びの乱れと噛み合わせのズレが気 ...
-
-
2026/03/05
叢生および咬合不正に対して矯正治療を行った症例(20代女性)
治療前 治療後 相談内容 歯並びのガタつきと前歯の噛み合わせが気に ...
-
-
2026/02/24
下顎前歯のブラックトライアングルおよび歯肉退縮に対する審美改善(結合組織移植)
治療前 治療後 相談内容 矯正治療後、下顎前歯の隙間(ブラックトラ ...
-
-
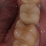
2026/02/12
メタル修復の審美障害および二次カリエスに対しセラミックインレーへ置換した症例(50代女性)
治療前 治療後 相談内容 銀歯の見た目が気になること、詰め物の下の ...

